언제나 친절하게 상담해드리겠습니다고객센터:02-333-5151
항상 최선을 다하는 SNU가 되겠습니다
온라인예약은 병원콜센터 확인전화 후 예약이 정상완료됩니다.
언제나 친절하게 상담해드리겠습니다고객센터:02-333-5151



SNU서울병원은 오랜 경험과 노하우를 바탕으로 세밀한 검진과 정확한 진단을 통해 환자의 마음을 진심으로 공감하며 필요한 바를 명확히 알아내고 가장 올바른 해결책을 제시합니다.
One step closer to your healing
인공관절치환술은 관절염이나 특정 질환 또는 외상에 의하여 무릎이 더 이상 제 기능을 하지 못해 관절의 일부분을 제거하고 인체공학적으로 제작된 기계를 삽입해서 관절의 운동 기능을 회복시켜주고 통증을 없애는 수술입니다. 인공관절 수술을 통해서 운동 범위를 향상 시킬 수 있습니다.


뼈와 뼈 사이의 연골과 뼈가 모두 손상되어 보행자체가 힘든 경우
다리의 변형이 심하게 진행되었을 때
걷거나 활동할 때 아픈 경우


*환자의 동의를 받은 SNU서울병원의 소중한 자료입니다.
인공관절치환술은 관절염이 발생된 부분만 인공관절로 바꿔주고 정상적인 나머지 무릎관절은 그대로 무릎 기능을 유지할 수 있도록 하는 반치환술과 심하게 관절염이 있는 경우 모든 관절 조직을 제거하고 인공관절을 삽입하는 전치환술로 나뉩니다. 환자의 연골 상태에 따라 인공관절 반치환술, 전치환술을 시행합니다.
1번 수술로 20년 이상 사용 기대
입원기간 평균 2주 지향,
수술 후 2주내 보행 지향,
빠른 일상생활 지향
무수혈 지향
통증 최소화 지향
세계최초! 환자의 뼈 크기와 남/녀 뼈의 모양을 해부학적 환자 맞춤으로 2mm 간격의 좌/우/Standard/Narrow 각각 12개 사이즈로 총 48개 환자맞춤 사이즈를 보유하여 수준 높은 정밀함을 선보입니다.
최대155도 까지 관절 굴곡으로 좌식생활에 적합한 한국형 인공관절로서 커버력 UP!
SNU서울병원의 2無(무수혈,무통증) 및 수술 후 SNU서울병원의 체계적인 재활 치료로 만족스러운 보행 결과를 보이는 SNU정밀형 환자 성별 맞춤 인공관절 수술
수술 후 O다리 변형 회복 및 독립적인 일상생활 가능한
안정성UP! 기능성UP! SNU정밀형 환자 성별 맞춤 인공관절 수술
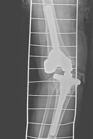
사고, 손상, 불완전한 기기, 체질적 요소 등으로 인공관절 재수술이 있을 수 있습니다. 매우 드문 수술이지만 고난도 스킬이 필요한 수술이 인공관절 재수술 입니다. 인공관절 재수술도 잘하는 병원은 인공관절 수술도 잘합니다.



*환자의 동의를 받은 SNU서울병원의 소중한 자료입니다.
인공관절 전치환술 시행
치료 전
치료 후
치료 후
인공관절 전치환술 시행
사고 및 손상
사고 및 손상
재수술
인공관절재수술 시행
인대파열 및 불균형
재수술
재수술
인공관절재수술 시행
*환자의 동의를 받은 SNU서울병원의 소중한 자료입니다.




※주의사항 : 수술 및 시술 후 국소감염, 부분출혈 및 일시적 신경마비와 같은 부작용이 드물게 발생할 수 있어 본 수술 및 시술 시행시 사전검사 및 의료진과의 전문상담이 필요합니다.
14년간 서울대학교병원 교수로서
다수 무릎질환 환자를 치료해왔으며,
몇몇 병원에서 아무도 선뜻 나서지 않는 수술 후 통증이나
통증증후군 치료를 위해 연구하고 치료하고 있습니다.
SNU서울병원은 2020년 6월부터 전 병동 ‘간호·간병 통합 서비스’ 를 시행하고 있습니다. 간호사와 수간호사, 간호조무사, 간병도우미 등이 24시간 상주하며 보호자나 개인 고용 간병인 없이도 거동이 불편한 환자분들의 보호자 역할을 대신하고 치료는 물론 입원생활 전반에 걸쳐 필요한 모든 도움을 세심하게 제공합니다.
수술 후 단순 물리치료가 아닌
1:1집중 재활치료를 병행하여
빠른 일상생활 복귀를 할 수 있도록
적극적으로 스포츠재활센터를 운영하고 있습니다.
SNU서울병원은 대한컬링연맹 국가대표 지정병원,
LG트윈스 프로야구 팀 닥터, 2021 FC서울 프로축구팀
공식 협력병원으로서 몸이 재산인 선수들의 곁에서
건강을 책임지며 선수들의 부상 예방 및 치료, 컨디션체크,
경기력 향상에 힘쓰고 있습니다.
관절클리닉
| 시간 | 월 | 화 | 수 | 목 | 금 | 토 |
|---|---|---|---|---|---|---|
| 오전 | 수술 | 수술 | 진료 | 연구 | 연구 | |
| 오후 | 진료 | 수술 | 연구 | 연구 | 연구 |
관절클리닉
| 시간 | 월 | 화 | 수 | 목 | 금 | 토 |
|---|---|---|---|---|---|---|
| 오전 | 진료 | 수술 | 진료 | 수술 | 진료 | 격주(문의) |
| 오후 | 진료 | 수술 | 진료 | 수술 | 진료 |
관절클리닉
| 시간 | 월 | 화 | 수 | 목 | 금 | 토 |
|---|---|---|---|---|---|---|
| 오전 | 진료 | 진료 | 진료 | 수술 | 수술 | 격주(문의) |
| 오후 | 수술 | 진료 | 수술 | 진료 | 진료 |
관절클리닉
| 시간 | 월 | 화 | 수 | 목 | 금 | 토 |
|---|---|---|---|---|---|---|
| 오전 | 수술 | 연구 | 수술 | 진료 | 연구 | 격주(문의) |
| 오후 | 수술 | 진료 | 수술 | 연구 | 연구 |
관절클리닉
| 시간 | 월 | 화 | 수 | 목 | 금 | 토 |
|---|---|---|---|---|---|---|
| 오전 | 수술 | 수술 | 수술 | 연구 | 연구 | 격주(문의) |
| 오후 | 연구 | 수술 | 수술 | 연구 | 진료 |